游民星空 > 资讯中心 > 正文

主人将鹦鹉揣口袋里养15天感染鹦鹉热:肝肾功能均受损

2025-11-04 19:13:15 来源:快科技 作者:哈尔 编辑:Noir 浏览:loading

据媒体报道,近日,福建一位男子连续发烧10天没见好转,没想到自己是感染了鹦鹉热。

据他自述,自己是名司机,前段时间心血来潮养了一只鹦鹉,但因为开车不方便照顾,就总喜欢把它揣进口袋里,开车的间隙可以逗着玩玩。

可没过几天,他突发高烧至38.7℃,伴有寒战、干咳、乏力等症状。起初,林师傅以为只是普通的伤风感冒,没太当回事,自行吃了些感冒药后,体温确实有所下降。本以为病情就此好转,但没过多久,体温又反复升高,症状也愈发严重。还出现头晕头痛、反应迟钝,精神状态极差。

游民星空

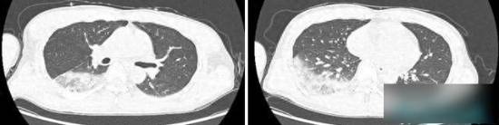
最终,家人送其就诊检查显示,系列检查结果出来后,让所有人都大吃一惊:林师傅不仅双肺下叶出现炎症,肝功能、肾功能也受到了损伤,多项炎症指标更是大幅超出正常范围。

医生追问病史得知其“口袋养鹦鹉”习惯,经进一步检查确诊为鹦鹉热衣原体。

医生提醒,鹦鹉热是人畜共患病,主要源头是禽类,潜伏期最长达45天,且感染后无法获得长久免疫力,仍有再次感染可能。

游民星空

人喜欢
游民星空APP
随时掌握游戏情报
code
休闲娱乐
综合热点资讯
单机游戏下载
好物推荐
游民星空联运游戏
主人将鹦鹉揣口袋养15天感染鹦鹉热:肝肾功能均受损https://imgs.gamersky.com/upimg/new_preview/2025/11/04/origin_b_202511041913002630.jpg