游民星空 > 资讯中心 > 正文

20岁男生挤了颗脸上的痘痘 肺被“啃”出10多个洞

2025-11-24 16:27:55 来源:微博 作者:陕视新闻 编辑:宁静海 浏览:loading

近日,浙江宁波,20岁的小林是名大二学生,前段时间为了准备考试,熬了几晚后脸上冒出一颗黄豆大小的痘痘。“又红又肿的很难看,我就想着挤掉能快点好。”他回忆道,当时没洗手就对着镜子挤痘痘,脓水挤出来时,他还觉得终于清爽了。

可过了几天,痘痘依旧化脓了,更糟糕的是,小林开始发烧咳嗽咳痰,即便吃了退烧药也只是暂时退下去,右下胸部传来的疼痛像有根针在扎,深呼吸、咳嗽时更是疼得他直冒冷汗。

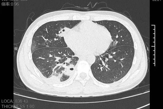
熬到第三天,小林已经烧到39℃,赶紧来到宁波大学附属第一医院就诊。接诊的丁群力主任医师一看他的症状,立刻安排了CT检查。结果显示:小林的肺里有十几个空洞,部分肺组织已经坏死,这是典型的血源性肺脓肿。

游民星空

进一步的细菌培养和基因检测揭开了真相,小林的血液里检出了金黄色葡萄球菌,这种细菌,就藏在每个人的皮肤表面。“‘罪魁祸首’就是那颗被挤掉的痘痘。”丁群力解释,“这颗痘痘长在脸部‘危险三角区’,挤痘痘时的压力把细菌推进了血管,引发了败血症,接着细菌顺着血流跑到肺部,侵蚀肺组织。”

万幸小林年轻,身体素质底子好,对药物也较为敏感,经过12天的抗生素治疗,最终顺利康复出院。

人喜欢
游民星空APP
随时掌握游戏情报
code
休闲娱乐
综合热点资讯
单机游戏下载
好物推荐
游民星空联运游戏
20岁男生挤了颗脸上的痘痘 肺被“啃”出10多个洞https://imgs.gamersky.com/upimg/new_preview/2025/11/24/origin_b_202511241627512515.jpg